为了更好的浏览效果,建议使用Chrome浏览器查看。

知道了

科研成果速递|燕之屋前沿科研成果论证燕窝对卵巢早衰的作用

2024-06-19
        近日,燕之屋在食品科学领域取得了重大突破,其开展的一项题为“Edible bird's nest improves the premature ovarian failure induced by tripterygium glycosides”的研究成果被食品科学领域国际知名SCI收录期刊《Food Science & Nutrition》正式收录。科学研究表明,燕窝对免疫制剂雷公藤多苷诱导的卵巢早衰有一定的预防和治疗作用。其作用机制可能与减少卵巢颗粒细胞凋亡、调节激素和受体、抑制卵泡闭合有关。
 


图:燕之屋燕窝研究院研究论文被国际权威SCI收录期刊
《Food Science & Nutrition》收录和发表

 
       卵巢早衰是指女性40岁以前,由于卵巢内卵泡耗竭或医源性损伤,导致的卵巢功能衰退。其决定性特征是血清雌激素水平低、促性腺激素水平升高,从而导致闭经、不孕等症状(Ebrahimi & Asbagh, 2011; Wesevich et al., 2020)。在妇科内分泌学领域,这是一种普遍的疾病,因患病率逐年上升,引起了医学界的关注。
 
       燕窝素有“东方臻品”之美誉,是一种天然补品,营养价值高。燕之屋科研团队联合中山大学蒋林博士着手开展燕窝在改善卵巢早衰中的作用的研究。在该项目中,研究人员建立了雷公藤多苷诱导的卵巢早衰模型。在实验条件下,燕窝显著提高了机体卵巢指数、黄体酮和雌二醇水平。此外,燕窝还促使机体卵巢颗粒层厚度和黄体数量的增加,同时减少了闭锁卵泡的数量、颗粒细胞凋亡率、促卵泡激素和黄体生成素水平。实验表明,燕窝对雷公藤多苷诱导的卵巢早衰具有预防和治疗的效果。
 


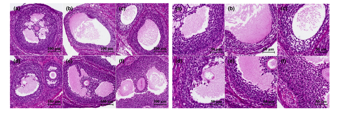
图:燕窝对卵巢早衰组织病理学影响。(a)正常对照组,(b)模型对照组,
(c) 燕窝低剂量组,(d) 燕窝中剂量组,(e) 燕窝高剂量组,(f)阳性对照组。 

 
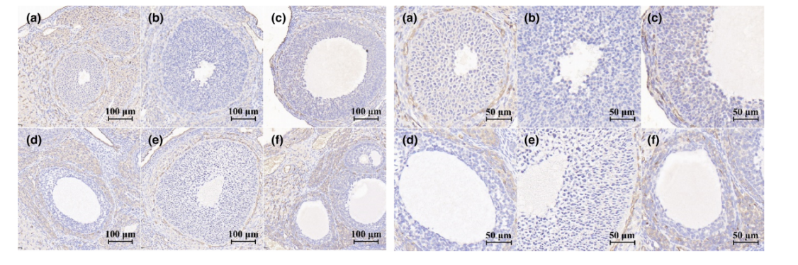
       本研究不仅全面阐述燕窝对雷公藤多苷诱导的卵巢早衰具有预防和改善作用,还进一步从蛋白表达的角度进行了探讨。结果显示,燕窝可能有助于增加卵巢FSHR蛋白的表达水平,从而达到预防和改善卵巢早衰的作用,这将有助于深入了解卵巢早衰的发病机制,并为未来治疗提供科学依据。此外,本研究也为燕窝的营养价值发掘提供了新的视角,为燕窝产业的高质量发展提供学术与技术支持。
 


图:燕窝对卵巢早衰FSHR蛋白表达的影响 (a)正常对照组,(b)模型对照组,
(c) 燕窝低剂量组,(d)燕窝中剂量组,(e) 燕窝高剂量组,(f)阳性对照组。 

 
        燕之屋再添科研成果,与其出色的技术水平、创新能力密不可分。一直以来,燕之屋秉持“源于天然,美与健康”的理念,自建燕之屋燕窝研究院,夯实基础,守正创新,不断挖掘燕窝营养功效,为行业高质量发展献智献力。2023年,燕之屋关于“Effect of edible bird’s nest and N-acetylneuraminic acid on gut microbiota in different stages of pregnant rats fed with zinc deficient diet”的研究成果被食品科学领域国际知名SCI期刊《Food Bioscience》收录;2023年,燕之屋燕窝研究院通过体外生化、细胞、生物三维立体证实了燕窝肽的抗衰老功效,并在国际权威期刊《Journal of Functional Foods》发表了燕窝肽抗衰研究“Study of the antiaging effects of bird's nest peptide based on biochemical, cellular, and animal models”,揭示燕窝肽抗衰老功效,进一步彰显燕之屋科研实力。
 


图:燕之屋“Study of the antiaging effects of bird's nest peptide based
on biochemical,cellular, and animal models”在国际权威SCI收录期刊
《Journal of Functional Foods》收录和发表 

 
       截止至2024年6月5日,燕之屋拥有国内外授权有效专利141项专利,其中发明专利23项,实用新型专利63项,外观设计专利55项。研究院发表论文53篇,其中SCI论文16篇,专著2部。经知名咨询机构弗若斯特沙利文有限公司认证,截至2023年12月,燕之屋在全球燕窝行业专利总数量第一、自主发明专利数量第一。2022年,燕之屋获评厦门市“专精特新”中小企业认定,并经过福建省工信厅对燕之屋燕窝研究院技术实力评定,成功获批“第三十二批省企业技术中心”称号;2023年,燕之屋荣获“国家知识产权优势企业”称号,充分彰显了燕之屋自主知识产权的综合实力;近日,燕之屋荣获“国家食品企业质量安全检测技术示范中心(无锡)分中心”授牌,为燕之屋持续开展科研工作注入新的动力。
 


图:截至2023年12月,燕之屋在全球燕窝行业专利总数量第一、自主发明专利数量第一


图:燕之屋荣获“国家知识产权优势企业”称号 

 
       燕之屋“Edible bird's nest improves the premature ovarian failure induced by tripterygium glycosides”科研成果被食品科学领域国际知名SCI收录期刊《Food Science & Nutrition 》所收录和发表,是燕之屋在科研领域的卓越表现,凸显了燕之屋在食品科学领域的深厚积淀。燕之屋将持续增强研发、创新能力,深入挖掘食品科学潜力,提升企业核心竞争力,以期在科技创新领域取得更大突破。